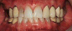
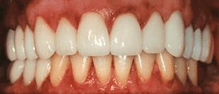
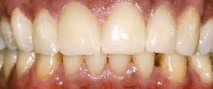
Case Study #1

Patient was unhappy with the results from a previous tooth bonding procedure and was concerned about discolored teeth.
Dr. Lazer created a treatment plan to improve the color and appearance of the smile using eight dental veneers.
“The old bonding was beginning to chip and break. I no longer smiled and was ready to invest in myself. I wanted a beautiful smile and Dr. Lazer and his staff created my perfect smile!”
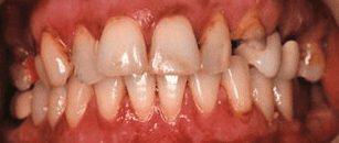
Case Study #2

Patient had old porcelain fused to metal crowns and bridgework. The metal created a gray discoloration at the gum line and led to irritation and inflammation of the gums.
Dr. Lazer used a combination of all porcelain dental crowns, veneers and bridge to restore a younger, more natural appearance.
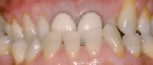
Case Study #3

The patient had old porcelain fused to metal crowns were discolored and gray at the gum line.
Dr. Lazer performed a smile makeover using a combination of all porcelain veneers and dental crowns.
“I was so embarrassed to smile. The old crowns were worn and looked gray. I am thrilled with my new smile. I love having a beautiful, white smile. I wish I had it done years ago!”
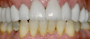
Case Study #4

The patient was displeased with the shape and size of teeth and wanted to enhance the appearance of his smile.
Dr. Lazer performed a gum recontouring procedure combined with all porcelain veneers to create an “ideal” smile.
Case Study #5

Patient presented with a diastema, or space between teeth, and missing a lateral incisor.
Dr. Lazer applied eight dental veneers to reshape the teeth and smile line, improving the alignment and appearance of teeth.
Case Study #6

Patient presented with numerous dental issues: tooth decay, worn teeth, neglect, and pain. Patient had dental anxiety and fear and as a result had not received proper preventative care.
A complete treatment plan was created to bring the mouth back to proper health and the smile to a naturally beautiful appearance. Dr. Lazer performed periodontal procedures to improve gum health. Dental crowns, bridgework, and dental veneers were used to complete the transformation.
“I was so afraid to go to the dentist. I always thought about it but was too scared to really do anything about it. I saw Dr. Lazer’s Baltimore Smile magazine and decided it was time. After a couple of appointments my fears were gone. The office is friendly and the staff really cares. I am now a regular patient that goes in every 6 months.”
Case Study #7

After years of neglect the patient came in wanting to improve his smile. Gums were inflamed and puffy with obvious signs of periodontal disease.
Dr. Lazer treated the gum disease and performed root canal therapy on several teeth, saving them from extraction. The upper arch was restored with all porcelain veneers and dental crowns.
Case Study #8

Case Study #9

Patient visited our office with several problems including missing teeth.
Dr. Lazer restored the smile using life-like, natural looking partial dentures to replace missing teeth in both the upper and lower arch. Other teeth were restored using dental crowns and bridgework.
Case Study #10

This patient was unhappy with the appearance of his smile due to broken and decayed teeth. Eight all-porcelain crowns and veneers were placed on his upper teeth to restore his smile to it’s natural function and beauty, and Zoom!® whitening was used on the bottom teeth.
Case Study #11

This patient had a severe underbite, in addition to problems with the size, shape and alignment of her teeth. Treatment was completed in two phases – first with a set of temporaries to help adjust the patient to her new bite, followed by full upper and lower-mouth rehabilitation to give her the smile she always wanted.
Case Study #12

This patient arrived to our office with severely broken down teeth that had yellowed over time. She also had old silver fillings she wanted replaced. A full-mouth rehabilitation was completed in just two visits – giving her a more stable bite, and a beautiful, white smile.
Case Study #13

This patient was self-conscious about his smile and felt uncomfortable smiling in public because of the large gap in his front teeth. Eight veneers were placed on his upper arch to close the gap and give his front teeth the full, bright appearance that would complement his jaw and face. Now he smiles with pride every chance he gets.
Case Study #14

The patient had problems with spacing, chipping, shade (color), an open bite and gum disease. Her gums were cleaned thoroughly and 12 crowns and veneers were used to restore her smile to full health, function and beauty.
Case Study #15

This patient’s smile had deteriorated badly when he arrived to our office. He wanted to address the size, shape and color of his teeth, as well as the large gaps between them. Treatment began with full cleaning of his teeth and gums followed by eight porcelain veneers.
Case Study #16

This patient wasn’t happy with the appearance of his teeth. Several of them were crooked and most of them had yellowed over the years. A total of 20 veneers were placed on his teeth to give him a complete smile makeover.

Case Study #17
This patient had been frustrated with the gaps in her upper teeth for many years, as well as the stains on her front teeth. Her veneers made is possible to give her exactly the smile she wanted so that she was no longer self-conscious about her teeth.